
Tratamentos Odontológicos

Ortodontia
Reabilitação Oral
Protocolo All on Four
Implantes
Lentes de contato
Clareamento Dental
Programa de Prevenção
Tratamento de Canal
Bruxismo



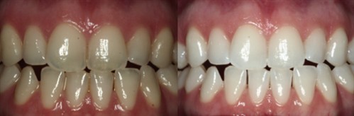
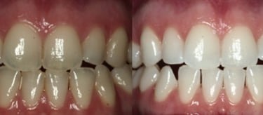
Clareamento Dental
2. Clareamento caseiro
O Clareamento dental caseiro é um procedimento qu clareia progressivamente os dentes e é mais fácil de controlar o resultado que o paciente pretende.
É fornecido um gel branqueador que será colocado dentro de uma placa em silicone personalizada que se adapta aos dentes, permitindo assim o contacto do gel com a superfície dentária. A substância ativa do gel liberta oxigênio que penetra no esmalte e neutraliza e remove as manchas resultando daí o efeito branqueador.
1. Clareamento feito no consultório (alta concentração de peróxido)
Esta técnica de clareamento que consiste num gel branqueador de peróxido de hidrogênio, ativado por uma luz azul fria.
Após higienização para remoção de placa bacteriana, as gengivas são protegidas e coloca-se nos dentes um gel branqueador. O tratamento dura aproximadamente uma hora.


Existem atualmente técnicas de clareamento dental perfeitamente seguras e eficazes que podem complementar os resultados de uma boa higiene dentária e dar resposta aqueles que querem ter um sorriso mais bonito e luminoso.

As lentes de contato dental são finas camadas de porcelana que são colocadas sobre os dentes para melhorar a aparência do sorriso. Elas são uma opção popular para corrigir imperfeições dentárias, como dentes desalinhados, manchados ou com espaços entre eles. Além de proporcionar um sorriso mais bonito, as lentes de contato dental também podem melhorar a autoestima e a confiança das pessoas, pois permitem corrigir pequenos defeitos e obter um sorriso perfeito.
Lentes de Contato Dental



O que é Lente de contato dental ?
Lentes de Contato em Resina x Porcelana
O que pode ser corrigido com a Lente de Contato ?
Como é o tratamento para Lentes de contato ?
O tratamento com lente de contato dental é simples e rápido. Na maioria dos casos, são necessárias apenas três consultas para transformar o sorriso do paciente .
1ª Consulta - Fazemos uma avaliação completa da saúde bucal, incluindo a análise da estrutura dentária, gengivas e oclusão. Em seguida, é feito um planejamento personalizado, através de moldagens ou escaneamento intra-oral, levando em consideração as necessidades e desejos do paciente.
2ª Consulta - A partis da moldagem ou escaneamento realizado na consulta anterior, já temos em mão um protótipo ( mock up) do novo sorriso. A superfície dos dentes são preparadas para receberem as lentes, por meio de um processo de desgaste mínimo e o paciente vai pra casa com lentes provisórias em resina.
3ª Consulta - Por fim, as lentes são fixadas de forma permanente utilizando um adesivo dental. É importante ressaltar que o tratamento requer cuidados e manutenção regular, como higienização adequada e visitas periódicas ao dentista.
✓ Dentes escurecidos;
✓ Problemas estéticos de cor e forma dos dentes;
✓ Dentes desgastados por bruxismo;
✓ Alterações de cor causadas por antibióticos ou fluorose dentária;
✓ Espaços entre dentes (diastemas);
✓ Dentes fragilizados por restaurações dentárias em resina.
O que NÃO pode ser corrigido com a Lente de Contato ?
✓ desgastes dentários severos por bruxismo;
✓ dentes projetados para frente;
✓ dentes apinhados (tortos e girados);
✓ dentes com muitas restaurações em resina (pouca estrutura dental);
✓ escurecimento dental severo por antibióticos ou fluorose.
As lentes de contato dental em porcelana e em resina são duas opções populares para a obtenção de um sorriso perfeito. A principal diferença entre os dois materiais está na sua composição e durabilidade.
As lentes de porcelana são feitas de um material resistente e duradouro, proporcionando um aspecto natural e brilhante aos dentes. Além disso, a porcelana é altamente resistente a manchas e descoloração, o que significa que as lentes de contato em porcelana têm uma vida útil mais longa.
Por outro lado, as lentes de resina são mais flexíveis e podem ser mais facilmente moldadas aos dentes. Elas também são mais finas, o que requer menos desgaste dos dentes originais durante o procedimento. No entanto, a resina é menos resistente a manchas e pode perder o brilho ao longo do tempo.
Em resumo, tanto as lentes de contato dental em porcelana quanto em resina têm suas vantagens e desvantagens, e a escolha entre elas dependerá das necessidades e preferências individuais de cada paciente.





O protocolo al on four é um procedimento odontológico que consiste na colocação de quatro implantes dentários na arcada superior ou inferior, permitindo a fixação de uma prótese dentária fixa. Essa técnica revolucionária é uma opção para pacientes que perderam vários dentes ou que precisam substituir dentaduras removíveis por uma solução mais estável e permanente.
O protocolo al on four oferece uma série de vantagens, como a rápida recuperação, a possibilidade de carga imediata dos dentes e a melhoria da estética e funcionalidade bucal. Além disso, esse protocolo é indicado para casos em que a quantidade óssea é limitada, pois os implantes são colocados em uma posição estratégica para aproveitar o osso disponível.
Protocolo All On Four




Os implantes odontológicos são uma solução eficaz para pessoas que necessitam substituir um ou mais dentes perdidos.
Esses dispositivos são feitos de titânio e são inseridos no osso da mandíbula, servindo como uma raiz artificial para suportar as próteses dentárias. Além de melhorar a estética do sorriso, os implantes odontológicos também proporcionam maior estabilidade e funcionalidade na mastigação.
O procedimento é realizado por um profissional especializado, que avalia a condição bucal do paciente e planeja a colocação adequada dos implantes. Após a inserção, é necessário um período de cicatrização para que os implantes se integrem ao osso.
Após esse período, as próteses são fixadas, devolvendo ao paciente a confiança e a satisfação de um sorriso completo e saudável.
Implantes unitários




Reabilitação oral é um tratamento odontológico completo e personalizado, que envolve diferentes especialidades da odontologia, como periodontia, implantodontia, prótese dentária, entre outras.
O objetivo da reabilitação oral é devolver ao paciente uma saúde bucal plena, melhorando sua mastigação, fala e até mesmo sua autoestima. Para isso, é realizado um planejamento detalhado, levando em consideração as necessidades e expectativas do paciente, e são utilizadas diversas técnicas e materiais avançados.
Com a reabilitação oral, é possível recuperar dentes danificados, substituir dentes perdidos, corrigir problemas de alinhamento e restaurar a harmonia do sorriso. É um tratamento completo e eficiente, que proporciona resultados duradouros e uma melhor qualidade de vida.
Reabilitação Oral




O tratamento ortodôntico serve para corrigir a posição dos dentes e a mordida, melhorando tanto a estética quanto a funcionalidade da boca. Esse tipo de tratamento é indicado para pessoas que apresentam problemas como dentes tortos, desalinhados, apinhados ou espaçados demais, além de mordida cruzada, sobremordida ou mordida aberta.
O objetivo principal do tratamento ortodôntico é alinhar os dentes de forma adequada, proporcionando um sorriso harmonioso e facilitando a mastigação, a fala e a respiração. Para alcançar esses resultados, são utilizados aparelhos ortodônticos, como os tradicionais bráquetes metálicos ou os mais modernos alinhadores transparentes, que aplicam forças suaves nos dentes, movendo-os gradualmente para a posição correta.
É importante ressaltar que o tratamento ortodôntico deve ser realizado por um profissional especializado, o ortodontista, que irá avaliar cada caso e indicar o melhor método para cada paciente.

Ortodontia



O tratamento endodôntico, também conhecido como tratamento de canal, é um procedimento odontológico realizado quando a polpa do dente está comprometida ou infectada. A polpa dentária é um tecido mole que está localizado no interior do dente, contendo vasos sanguíneos, nervos e tecido conjuntivo.
Quando a polpa está inflamada ou infectada, geralmente devido a cáries profundas, trauma ou fraturas dentárias, é necessário remover todo o tecido inflamado e limpar o canal radicular. Durante o tratamento endodôntico, o dentista remove a polpa infectada, desinfeta o canal radicular e preenche-o com um material de obturação para evitar futuras infecções.
Esse tratamento permite salvar o dente e aliviar a dor e o desconforto associados à infecção dentária.
Tratamento de canal




Infecções dentais e complicações no organismo
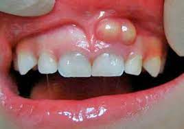
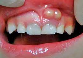
As infecções dentárias podem aparecer em qualquer parte da cavidade bucal. E a fístula dental acontece quando há um problema na raiz do dente ou em torno dela.
E quando a fístula dentária aparece na boca, é sinal que as bactérias conseguiram penetrar na polpa dentária, a parte mais interna e sensível do dente. Por isso, é comum sentir dor intensa, que pode piorar com o tempo. Inclusive, esse desconforto pode evoluir para outras partes do rosto, como pescoço e ouvido.
Fístula Dental
A fístula dentária é uma resposta do corpo para drenar a infecção local.
Para quem tem fístula na boca, alguns sintomas podem ser bem comuns:
inchaço na área da gengiva;
dor ou sensibilidade no local da fístula e na área ao redor;
presença de pus ou fluido saindo da área da fístula;
gosto ruim na boca ou mau hálito por conta da infecção.
Se um desses sintomas está atrapalhando a sua rotina, não espere para procurar um atendimento odontológico de emergência.
Principais causas da fístula no dente
1. Cárie dentária
Normalmente, a cárie começa no esmalte, que é a camada mais externa do dente. Quando ela não é tratada, a dentina pode ser afetada e, em casos mais graves, a polpa do dente também pode ser alcançada.
É nessa região que estão localizados os nervos e os vasos sanguíneos, estruturas sensíveis que podem sofrer com infecções.
Ou seja, quando as bactérias tomam conta dessa região, aumentam as chances de uma fístula dental se formar.
2. Doença periodontal
O acúmulo de bactérias na linha da gengiva pode levar a doenças como a gengivite. Quando a infecção evolui, é comum que os tecidos de suporte dos dentes também sejam atingidos, dando origem à temida periodontite.
A partir daí, pode acontecer perda óssea e a formação de bolsas periodontais – local onde as bactérias e os restos de alimentos podem se acumular.
Esse é um prato cheio para outras complicações, inclusive com a formação de fístula no dente, por onde o pus e outros resíduos são naturalmente drenados.
3. Trauma dental
Um dente quebrado, seja em uma queda ou em qualquer outro tipo de acidente, não afeta apenas a aparência, mas também a saúde oral como um todo.
Quando uma parte do dente se quebra, a polpa dentária pode ficar exposta e vulnerável à ação das bactérias. Com isso, infecções podem surgir na área e, mais tarde, podem dar origem à fístula dentária.
4. Abscesso na gengiva
Um abcesso na gengiva ocorre quando uma infecção bacteriana se acumula no tecido gengival devido à presença de cáries não tratadas ou infecções na raiz de um dente.
Se não tratado, o abscesso pode se expandir, formando uma bolsa de pus próxima da raiz do dente afetado. A pressão crescente da infecção pode eventualmente romper a barreira do osso ou da gengiva, criando uma fístula dental.
Alerta !!! Não brinque com infecções dentárias. Elas são perigosas para a saúde geral.

Bruxismo
Perguntas frequentes sobre o Bruxismo
Embora não haja uma cura definitiva para o bruxismo em todos os casos, é importante reconhecer que muitas pessoas podem encontrar alívio significativo dos sintomas e uma melhora na qualidade de vida por meio de tratamentos e estratégias de gerenciamento do problema.
Caso você possua algum sintoma de bruxismo, o ideal é agendar uma consulta para avaliar o seu caso e indicar as melhores opções de tratamento
Bruxismo " O Mal do Século" é uma condição caracterizada pelo ranger ou apertar dos dentes, principalmente durante o sono. É considerado um distúrbio do sono e pode ser causado por diversos fatores, tais como estresse, ansiedade, problemas na articulação temporomandibular (ATM) e desalinhamento dos dentes.
O bruxismo pode levar a consequências sérias, como desgaste dos dentes, dores de cabeça, dores na mandíbula e na face, além de problemas na gengiva e nos músculos faciais.
O tratamento para o bruxismo pode incluir o uso de placa de mordida, terapia comportamental, fisioterapia, medicamentos e técnicas de relaxamento. É importante buscar ajuda de um profissional de saúde bucal para avaliar e tratar adequadamente o bruxismo, a fim de evitar danos maiores à saúde bucal.
Bruxismo tem cura ?
Existem diversos fatores que podem causar o bruxismo, sendo o estresse e a ansiedade os principais motivos. O estilo de vida agitado e a pressão do dia a dia podem levar a uma tensão excessiva nos músculos da mandíbula, resultando no bruxismo.
Além disso, problemas de oclusão dental, como mordida desalinhada ou dentes tortos, também podem contribuir para o desenvolvimento do bruxismo. Outros fatores, como consumo excessivo de álcool, tabagismo e uso de certos medicamentos, podem aumentar a probabilidade do bruxismo ocorrer.
É importante identificar e tratar as causas do bruxismo, pois a condição pode causar danos aos dentes, dor facial e até mesmo distúrbios do sono.
Quais são os motivos causadores do bruxismo ?
Quais são os principais sintomas do bruxismo ?
Dor ou desconforto na mandíbula, pescoço e orelhas
Dor de cabeça crônica, muitas vezes na região das têmporas
Hipertrofia do masseter (músculo que ajuda no abrir e fechar da boca)
Amolecimentos nos dentes
Dores cervicais
Alteração na audição com presença de zumbidos
Desgaste anormal dos dentes e rachaduras
Sensibilidade dentária
Distúrbios do sono, como insônia
Dores na ATM (Articulação Temporomandibular – problemas nas articulações que conectam o crânio à mandíbula)
Como é realizado o tratamento para bruxismo ?
O tratamento para bruxismo pode ser realizado de diversas formas, dependendo do grau de intensidade e dos sintomas apresentados pelo paciente.
Geralmente, o primeiro passo é identificar a causa do bruxismo, que pode estar relacionada ao estresse, ansiedade ou até mesmo a problemas na posição dos dentes. Em casos mais leves, algumas medidas simples podem ser tomadas, como evitar o consumo de alimentos ou bebidas estimulantes, reduzir o estresse diário e fazer exercícios de relaxamento. Além disso, o uso de placas de mordida personalizadas, que ajudam a proteger os dentes durante a noite, também pode ser recomendado.
Em casos mais graves, pode ser necessário recorrer a técnicas restauradores com recuperação da dimensão vertical, fisioterapia, acupuntura ou até mesmo ao uso de medicamentos relaxantes musculares.



CONTATOS
Tel. Fixo (19) 3223 9783
COMO CHEGAR
Unidade I - Amoreiras
Unidade II - Castelo
Rua Joaquim Lacerda Coelho, 627 - Jd Capivari Campinas SP
Rua Eng Arthur Canguçú, 475 - B.Castelo Campinas SP


















